|
Background: |
S-adenosyl-L-methionine-dependent methyltransferase which specifically dimethylates mitochondrial 12S rRNA at the conserved stem loop. Also required for basal transcription of mitochondrial DNA, probably via its interaction with POLRMT and TFAM. Stimulates transcription independently of the methyltransferase activity. Compared to TFB1M, it activates transcription of mitochondrial DNA more efficiently, while it has less methyltransferase activity. |
|
Applications: |
ELISA, IHC |
|
Name of antibody: |
TFB2M |
|
Immunogen: |
Fusion protein of human TFB2M |
|
Full name: |
transcription factor B2, mitochondrial |
|
Synonyms: |
Hkp1; mtTFB2 |
|
SwissProt: |
Q9H5Q4 |
|
ELISA Recommended dilution: |
5000-10000 |
|
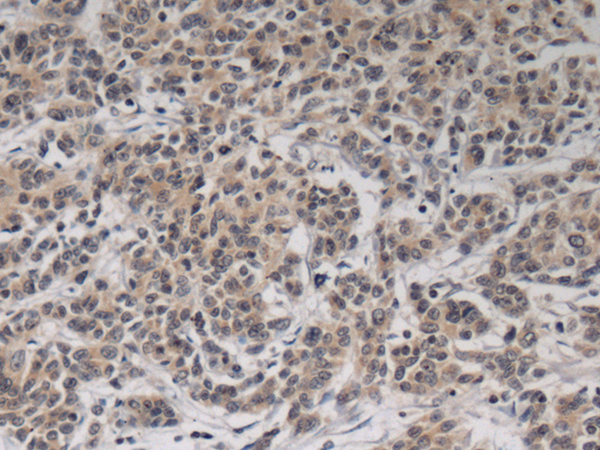
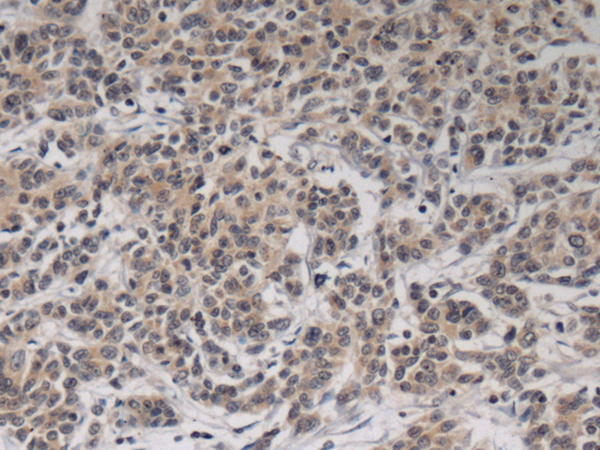
IHC positive control: |
Human colorectal cancer |
|
IHC Recommend dilution: |
50-200 |
購物車
幫助
021-54845833/15800441009
