|
Background: |
Transcription factors of the basic helix-loop-helix-zipper (bHLH-ZIP) family contain a basic domain, which is used for DNA binding, and HLH and ZIP domains, which are used for oligomerization. Transcription factor AP4 activates both viral and cellular genes by binding to the symmetrical DNA sequence CAGCTG (Mermod et al., 1988 [PubMed 2833704]; Hu et al., 1990 [PubMed 2123466]). |
|
Applications: |
ELISA, IHC |
|
Name of antibody: |
TFAP4 |
|
Immunogen: |
Fusion protein of human TFAP4 |
|
Full name: |
transcription factor AP-4 |
|
Synonyms: |
AP-4; bHLHc41 |
|
SwissProt: |
Q01664 |
|
ELISA Recommended dilution: |
5000-10000 |
|
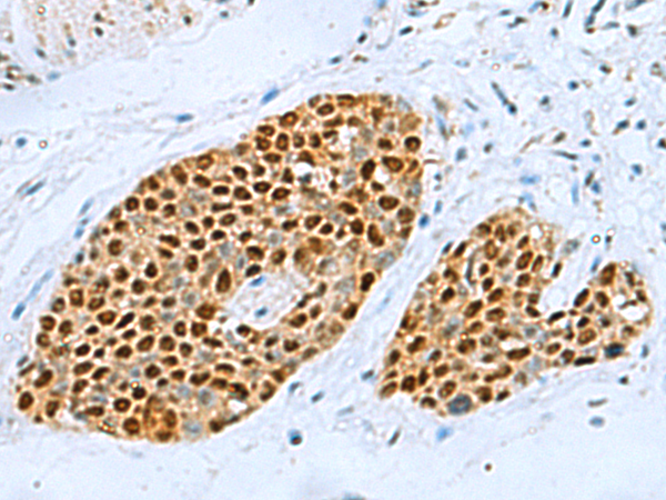
IHC positive control: |
Human esophagus cancer |
|
IHC Recommend dilution: |
50-200 |
購(gòu)物車
幫助
021-54845833/15800441009
