中文名稱:兔抗CLIP2多克隆抗體
|
Background: |
The protein encoded by this gene belongs to the family of cytoplasmic linker proteins, which have been proposed to mediate the interaction between specific membranous organelles and microtubules. This protein was found to associate with both microtubules and an organelle called the dendritic lamellar body. This gene is hemizygously deleted in Williams syndrome, a multisystem developmental disorder caused by the deletion of contiguous genes at 7q11.23. Alternative splicing of this gene generates 2 transcript variants. |
|
Applications: |
ELISA, WB, IHC |
|
Name of antibody: |
CLIP2 |
|
Immunogen: |
Synthetic peptide of human CLIP2 |
|
Full name: |
CAP-Gly domain containing linker protein 2 |
|
Synonyms: |
CLIP; CYLN2; WSCR3; WSCR4; WBSCR3; WBSCR4; CLIP-115 |
|
SwissProt: |
Q9UDT6 |
|
ELISA Recommended dilution: |
5000-10000 |
|
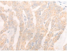
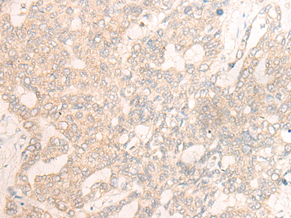
IHC positive control: |
Human liver cancer and Human ovarian cancer |
|
IHC Recommend dilution: |
20-100 |
|
WB Predicted band size: |
116 kDa |
|
WB Positive control: |
LOVO and NIH/3T3 cell lysates |
|
WB Recommended dilution: |
200-1000 |


購物車
幫助
021-54845833/15800441009
