中文名稱: 兔抗APCDD1多克隆抗體
|
Background: |
This locus encodes an inhibitor of the Wnt signaling pathway. Mutations at this locus have been associated with hereditary hypotrichosis simplex. Increased expression of this gene may also be associated with colorectal carcinogenesis. |
|
Applications: |
ELISA, IHC |
|
Name of antibody: |
APCDD1 |
|
Immunogen: |
Synthetic peptide of human APCDD1 |
|
Full name: |
APC down-regulated 1 |
|
Synonyms: |
HHS; HTS; B7323; HYPT1; DRAPC1; FP7019 |
|
SwissProt: |
Q8J025 |
|
ELISA Recommended dilution: |
5000-10000 |
|
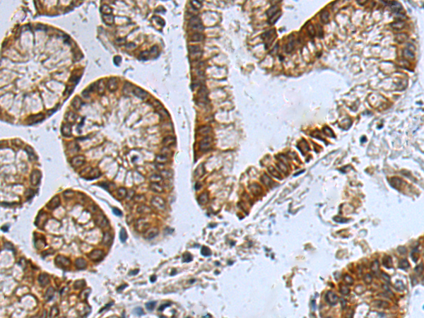
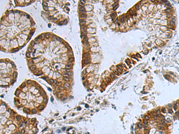
IHC positive control: |
Human colorectal cancer |
|
IHC Recommend dilution: |
50-100 |
購物車
幫助
021-54845833/15800441009
