|
Background: |
Regulator which is able to repress transcription, possibly via its interaction with a multiprotein chromatin remodeling complex that modifies the chromatin. Its interaction with BRCA2 suggests that it may play a central role in the DNA repair function of BRCA2. As part of a histone H3-specific methyltransferase complex may mediate ligand-dependent transcriptional activation by nuclear hormone receptors. |
|
Applications: |
ELISA, IHC |
|
Name of antibody: |
EMSY |
|
Immunogen: |
Synthetic peptide of human EMSY |
|
Full name: |
EMSY, BRCA2 interacting transcriptional repressor |
|
Synonyms: |
GL002; C11orf30 |
|
SwissProt: |
Q7Z589 |
|
ELISA Recommended dilution: |
5000-10000 |
|
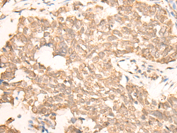
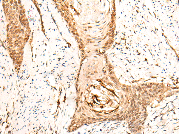
IHC positive control: |
Human lung cancer and Human esophagus cancer |
|
IHC Recommend dilution: |
30-150 |

購物車
幫助
021-54845833/15800441009
