|
Background: |
The protein encoded by this gene is an alpha subunit of guanine nucleotide binding proteins (G proteins). The encoded protein contains the guanine nucleotide binding site and is involved in the hormonal regulation of adenylate cyclase. Several transcript variants encoding different isoforms have been found for this gene. |
|
Applications: |
ELISA, WB, IHC |
|
Name of antibody: |
GNAI2 |
|
Immunogen: |
Synthetic peptide of human GNAI2 |
|
Full name: |
guanine nucleotide binding protein (G protein), alpha inhibiting activity polypeptide 2 |
|
Synonyms: |
GIP; GNAI2B; H_LUCA15.1; H_LUCA16.1 |
|
SwissProt: |
P04899 |
|
ELISA Recommended dilution: |
5000-10000 |
|
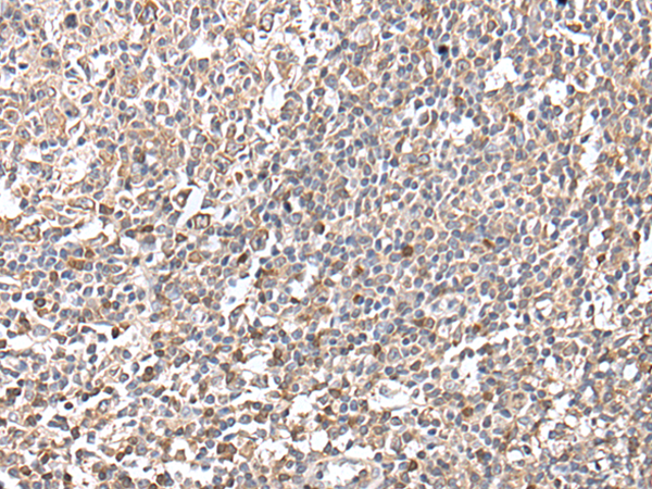
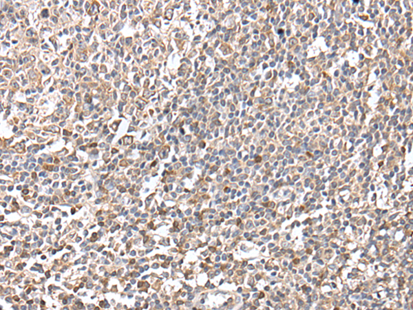
IHC positive control: |
Human tonsil |
|
IHC Recommend dilution: |
25-100 |
|
WB Predicted band size: |
40 kDa |
|
WB Positive control: |
Mouse brain tissue and Human fetal brain tissue |
|
WB Recommended dilution: |
500-2000 |


購物車
幫助
021-54845833/15800441009
