中文名稱:兔抗BAD多克隆抗體
|
Background: |
The protein encoded by this gene is a member of the BCL-2 family. BCL-2 family members are known to be regulators of programmed cell death. This protein positively regulates cell apoptosis by forming heterodimers with BCL-xL and BCL-2, and reversing their death repressor activity. Proapoptotic activity of this protein is regulated through its phosphorylation. Protein kinases AKT and MAP kinase, as well as protein phosphatase calcineurin were found to be involved in the regulation of this protein. Alternative splicing of this gene results in two transcript variants which encode the same isoform. |
|
Applications: |
ELISA, IHC |
|
Name of antibody: |
BAD |
|
Immunogen: |
Fusion protein of human BAD |
|
Full name: |
BCL2-associated agonist of cell death |
|
Synonyms: |
BBC2; BCL2L8 |
|
SwissProt: |
Q92934 |
|
ELISA Recommended dilution: |
1000-5000 |
|
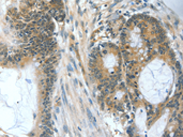
IHC positive control: |
Human colon cancer and Human esophagus cancer |
|
IHC Recommend dilution: |
50-200 |

購物車
幫助
021-54845833/15800441009
