中文名稱(chēng):兔抗BAG1多克隆抗體
|
Background: |
The oncogene BCL2 is a membrane protein that blocks a step in a pathway leading to apoptosis or programmed cell death. The protein encoded by this gene binds to BCL2 and is referred to as BCL2-associated athanogene. It enhances the anti-apoptotic effects of BCL2 and represents a link between growth factor receptors and anti-apoptotic mechanisms. Multiple protein isoforms are encoded by this mRNA through the use of a non-AUG (CUG) initiation codon, and three alternative downstream AUG initiation codons. A related pseudogene has been defined on chromosome X. |
|
Applications: |
ELISA, WB, IHC |
|
Name of antibody: |
BAG1 |
|
Immunogen: |
Fusion protein of human BAG1 |
|
Full name: |
BCL2-associated athanogene |
|
Synonyms: |
HAP; BAG-1; RAP46 |
|
SwissProt: |
Q99933 |
|
ELISA Recommended dilution: |
2000-5000 |
|
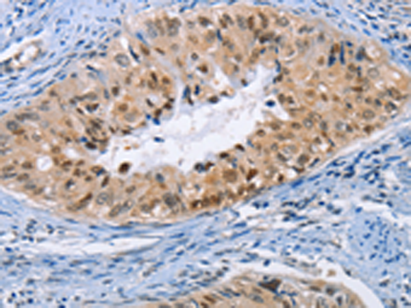
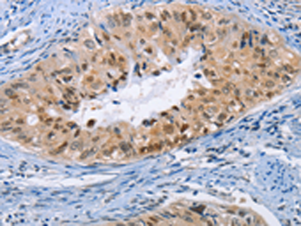
IHC positive control: |
Human cervical cancer and human thyroid cancer |
|
IHC Recommend dilution: |
25-100 |
|
WB Predicted band size: |
39 kDa |
|
WB Positive control: |
Hela and Raji cells |
|
WB Recommended dilution: |
500-2000 |


購(gòu)物車(chē)
幫助
021-54845833/15800441009
