|
Background: |
Keratins are intermediate filament proteins responsible for the structural integrity of epithelial cells and are subdivided into epithelial keratins and hair keratins. This gene encodes a protein that is expressed in the inner root sheath of hair follicles. The type II keratins are clustered in a region of chromosome 12q13. |
|
Applications: |
ELISA, IHC |
|
Name of antibody: |
KRT73 |
|
Immunogen: |
Full length fusion protein |
|
Full name: |
keratin 73, type II |
|
Synonyms: |
K6IRS3; IRT6IRS3; KRT6IRS3 |
|
SwissProt: |
Q86Y46 |
|
ELISA Recommended dilution: |
5000-10000 |
|
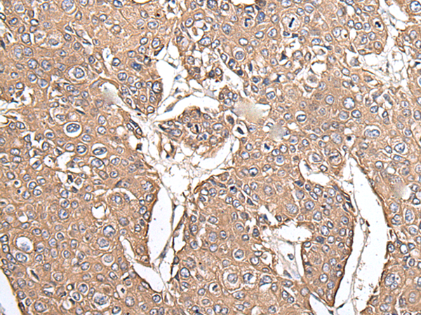
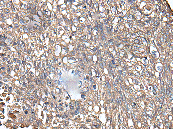
IHC positive control: |
Human prostate cancer and human lung cancer |
|
IHC Recommend dilution: |
40-200 |

購物車
幫助
021-54845833/15800441009
