抗 原: KRT76
|
Background: |
Keratins are intermediate filament proteins responsible for the structural integrity of epithelial cells and are subdivided into epithelial keratins and hair keratins. The type II keratins are clustered in a region of chromosome 12q13. |
|
Applications: |
ELISA, IHC |
|
Name of antibody: |
KRT76 |
|
Immunogen: |
Synthetic peptide of human KRT76 |
|
Full name: |
keratin 76 |
|
Synonyms: |
KRT2B; KRT2P; HUMCYT2A |
|
SwissProt: |
Q01546 |
|
ELISA Recommended dilution: |
5000-10000 |
|
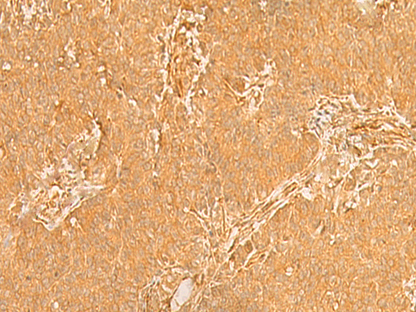
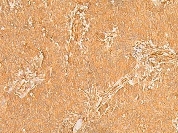
IHC positive control: |
Human breast cancer and Human ovarian cancer |
|
IHC Recommend dilution: |
50-300 |


購(gòu)物車
幫助
021-54845833/15800441009
