中文名稱:兔抗CA4多克隆抗體
|
Background: |
Carbonic anhydrases (CAs) are a large family of zinc metalloenzymes that catalyze the reversible hydration of carbon dioxide. They participate in a variety of biological processes, including respiration, calcification, acid-base balance, bone resorption, and the formation of aqueous humor, cerebrospinal fluid, saliva, and gastric acid. They show extensive diversity in tissue distribution and in their subcellular localization. This gene encodes a glycosylphosphatidyl-inositol-anchored membrane isozyme expressed on the luminal surfaces of pulmonary (and certain other) capillaries and proximal renal tubules. Its exact function is not known; however, it may have a role in inherited renal abnormalities of bicarbonate transport. |
|
Applications: |
ELISA, WB, IHC |
|
Name of antibody: |
CA4 |
|
Immunogen: |
Fusion protein of human CA4 |
|
Full name: |
carbonic anhydrase IV |
|
Synonyms: |
CAIV; Car4; RP17 |
|
SwissProt: |
P22748 |
|
ELISA Recommended dilution: |
2000-5000 |
|
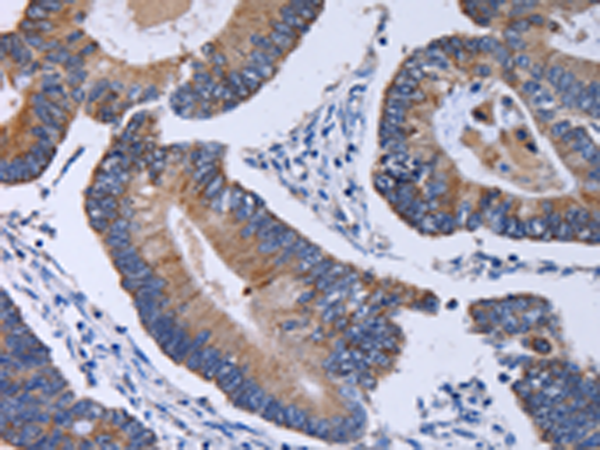
IHC positive control: |
Human colon cancer and human prostate cancer |
|
IHC Recommend dilution: |
25-100 |
|
WB Predicted band size: |
35 kDa |
|
WB Positive control: |
Human normal lung tissue |
|
WB Recommended dilution: |
500-2000 |


購物車
幫助
021-54845833/15800441009
