中文名稱: 兔抗AEBP2多克隆抗體
|
Background: |
AEBP2 is a zinc finger protein that has been shown to interact with the mammalian Polycomb Repression Complex 2 (PRC2). AEBP2 is an evolutionarily well-conserved gene that is found in the animals ranging from flying insects to mammals. The transcription of mammalian AEBP2 is driven by two alternative promoters and produces at least two isoforms of the protein. These isoforms show developmental stage-specific expression patterns: the adult-specific larger form (51 kDa) and the embryo-specific smaller form (32 kDa). |
|
Applications: |
ELISA, IHC |
|
Name of antibody: |
AEBP2 |
|
Immunogen: |
Fusion protein of human AEBP2 |
|
Full name: |
AE binding protein 2 |
|
SwissProt: |
Q6ZN18 |
|
ELISA Recommended dilution: |
2000-5000 |
|
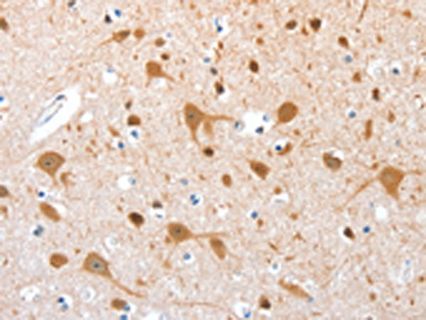
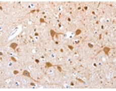
IHC positive control: |
Human brain and human thyroid cancer |
|
IHC Recommend dilution: |
25-100 |
購(gòu)物車
幫助
021-54845833/15800441009
