中文名稱:兔抗ACTR3B多克隆抗體
|
Background: |
This gene encodes a member of the actin-related proteins (ARP), which form multiprotein complexes and share 35-55% amino acid identity with conventional actin. The protein encoded by this gene may have a regulatory role in the actin cytoskeleton and induce cell-shape change and motility. Pseudogenes of this gene are located on chromosomes 2, 4, 10, 16, 22 and Y. Alternative splicing results in multiple transcript variants and protein isoforms. |
|
Applications: |
ELISA, WB, IHC |
|
Name of antibody: |
ACTR3B |
|
Immunogen: |
Fusion protein of human ACTR3B |
|
Full name: |
actin related protein 3B |
|
Synonyms: |
ARP11; ARP3BETA |
|
SwissProt: |
Q9P1U1 |
|
ELISA Recommended dilution: |
1000-2000 |
|
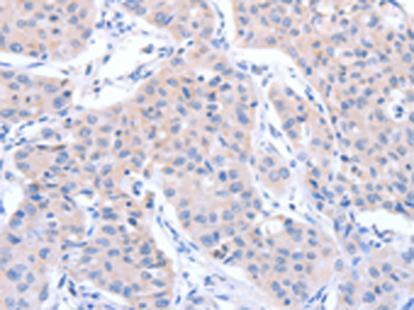
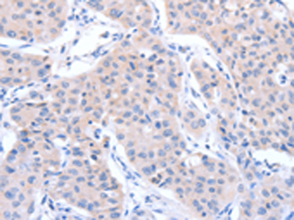
IHC positive control: |
Human lung cancer and Human gasrtic cancer |
|
IHC Recommend dilution: |
15-50 |
|
WB Predicted band size: |
48 kDa |
|
WB Positive control: |
Mouse brain tissue |
|
WB Recommended dilution: |
200-1000 |


購物車
幫助
021-54845833/15800441009
