中文名稱:兔抗ZFP36多克隆抗體
|
Background: |
mRNA-binding protein involved in post-transcriptional regulation of AU-rich element (ARE)-containing mRNAs. Acts by specifically binding ARE-containing mRNAs and promoting their degradation. Recruits deadenylase CNOT7 (and probably the CCR4-NOT complex) via association with CNOT1. Plays a key role in the post-transcriptional regulation of tumor necrosis factor (TNF). Plays a key role in the post-transcriptional regulation of tumor necrosis factor (TNF). |
|
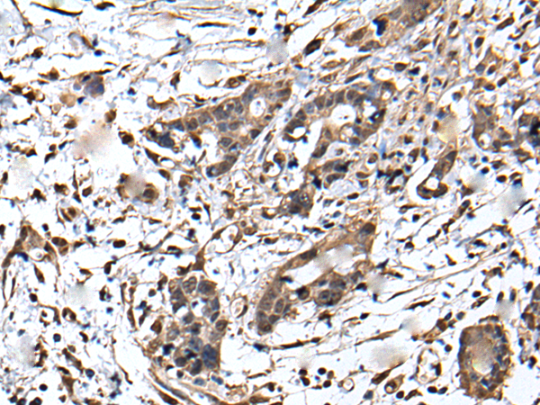
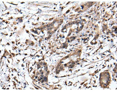
Applications: |
ELISA, IHC |
|
Name of antibody: |
ZFP36 |
|
Immunogen: |
Fusion protein of human ZFP36 |
|
Full name: |
ZFP36 ring finger protein |
|
Synonyms: |
TTP; G0S24; GOS24; TIS11; NUP475; zfp-36; RNF162A |
|
SwissProt: |
P26651 |
|
ELISA Recommended dilution: |
5000-10000 |
|
IHC positive control: |
Human brain and human gastric cancer |
|
IHC Recommend dilution: |
40-200 |

購(gòu)物車
幫助
021-54845833/15800441009
