中文名稱(chēng):兔抗CABIN1多克隆抗體
|
Background: |
Calcineurin plays an important role in the T-cell receptor-mediated signal transduction pathway. The protein encoded by this gene binds specifically to the activated form of calcineurin and inhibits calcineurin-mediated signal transduction. The encoded protein is found in the nucleus and contains a leucine zipper domain as well as several PEST motifs, sequences which confer targeted degradation to those proteins which contain them. Alternative splicing results in multiple transcript variants encoding two different isoforms. |
|
Applications: |
ELISA, IHC |
|
Name of antibody: |
CABIN1 |
|
Immunogen: |
Synthetic peptide of human CABIN1 |
|
Full name: |
calcineurin binding protein 1 |
|
Synonyms: |
CAIN; PPP3IN; KB-318B8.7 |
|
SwissProt: |
Q9Y6J0 |
|
ELISA Recommended dilution: |
5000-10000 |
|
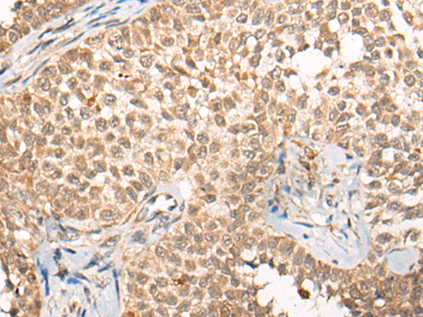
IHC positive control: |
Human ovarian cancer |
|
IHC Recommend dilution: |
40-200 |

購(gòu)物車(chē)
幫助
021-54845833/15800441009
