中文名稱:兔抗BAP1多克隆抗體
|
Background: |
This gene belongs to the ubiquitin C-terminal hydrolase subfamily of deubiquitinating enzymes that are involved in the removal of ubiquitin from proteins. The encoded enzyme binds to the breast cancer type 1 susceptibility protein (BRCA1) via the RING finger domain of the latter and acts as a tumor suppressor. In addition, the enzyme may be involved in regulation of transcription, regulation of cell cycle and growth, response to DNA damage and chromatin dynamics. Germline mutations in this gene may be associated with tumor predisposition syndrome (TPDS), which involves increased risk of cancers including malignant mesothelioma, uveal melanoma and cutaneous melanoma. |
|
Applications: |
ELISA, IHC |
|
Name of antibody: |
BAP1 |
|
Immunogen: |
Fusion protein of human BAP1 |
|
Full name: |
BRCA1 associated protein 1 |
|
Synonyms: |
UCHL2; hucep-6; HUCEP-13 |
|
SwissProt: |
Q92560 |
|
ELISA Recommended dilution: |
5000-10000 |
|
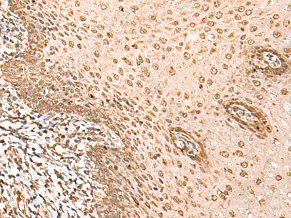
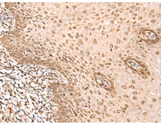
IHC positive control: |
Human esophagus cancer and Human breast cancer |
|
IHC Recommend dilution: |
40-200 |


購物車
幫助
021-54845833/15800441009
