中文名稱: 兔抗ZNF277多克隆抗體
|
Background: |
ZNF277 (zinc finger protein 277), also known as NRIF4 or ZNF277P, is a 438 amino acid protein that contains two C2H2-type zinc fingers and is thought to localize to the nucleus. Expressed in fetal liver, lymph node, spleen and peripheral blood leukocytes, ZNF277 may function as a transcriptional repressor that plays a role in cell growth and differentiation. |
|
Applications: |
ELISA, IHC |
|
Name of antibody: |
ZNF277 |
|
Immunogen: |
Fusion protein of human ZNF277 |
|
Full name: |
zinc finger protein 277 |
|
Synonyms: |
NRIF4; ZNF277P |
|
SwissProt: |
Q9NRM2 |
|
ELISA Recommended dilution: |
5000-10000 |
|
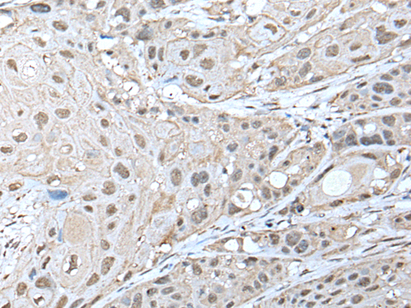
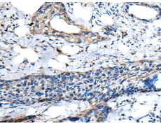
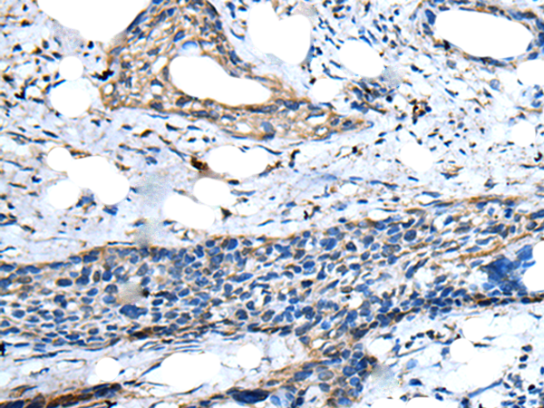
IHC positive control: |
Human esophagus cancer and human cervical cancer |
|
IHC Recommend dilution: |
25-100 |

購物車
幫助
021-54845833/15800441009
