Background:
This gene encodes a member of the junctional adhesion molecule (JAM) family. The encoded protein contains multiple glycosylation sites at the N-terminal region, and multiple phosphorylation sites and glutamic acid/proline (EP) repeats at the C-terminal region. The gene is expressed in normal stomach and testis, as well as in gastric, esophageal and ovarian cancers. Alternatively spliced transcript variants encoding different isoforms have been found for this gene.
Applications:
ELISA, IHC
Name of antibody:
VSIG1
Immunogen:
Synthetic peptide of human VSIG1
Full name:
V-set and immunoglobulin domain containing 1
Synonyms:
GPA34; dJ889N15.1; 1700062D20Rik
SwissProt:
Q86XK7
ELISA Recommended dilution:
5000-10000
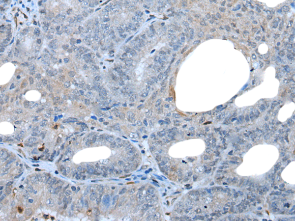
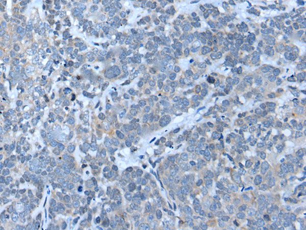
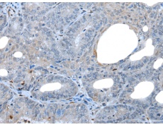
IHC positive control:
Human ovarian cancer and human thyroid cancer
IHC Recommend dilution:
20-100


購物車
幫助
021-54845833/15800441009
