中文名稱:兔抗ZMAT4多克隆抗體
|
Background: |
Zinc-finger proteins contain DNA-binding domains and have a wide variety of functions, most of which encompass some form of transcriptional activation or repression. Zinc finger matrin-type protein 4 (ZMAT4) is a 229 amino acid protein that contains four matrin-type zinc fingers. The matrin-type zinc finger, which is very similar in structure to the classical DNA-binding C2H2 zinc finger, was first identified in the protein matrin-3. It has also been identified in several spliceosome RNA-binding proteins, suggesting a role in pre-mRNA binding. ZMAT4 is localized to the nucleus, and two isoforms of this protein exist as a result of alternative splicing events. |
|
Applications: |
ELISA, IHC |
|
Name of antibody: |
ZMAT4 |
|
Immunogen: |
Fusion protein of human ZMAT4 |
|
Full name: |
zinc finger matrin-type 4 |
|
SwissProt: |
Q9H898 |
|
ELISA Recommended dilution: |
5000-10000 |
|
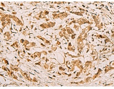
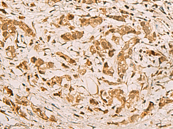
IHC positive control: |
Human gastric cancer |
|
IHC Recommend dilution: |
50-200 |
購物車
幫助
021-54845833/15800441009
