|
Background: |
Heparan sulfate proteoglycans (HSPGs) act as coreceptors for numerous heparin-binding growth factors and cytokines and are involved in cell signaling. Heparan sulfate 6-O-endosulfatases, such as SULF2, selectively remove 6-O-sulfate groups from heparan sulfate. This activity modulates the effects of heparan sulfate by altering binding sites for signaling molecules (Dai et al., 2005 [PubMed 16192265]). |
|
Applications: |
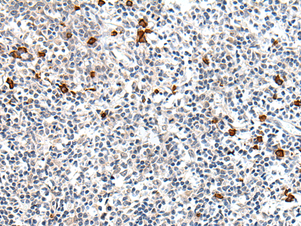
ELISA, IHC |
|
Name of antibody: |
SULF2 |
|
Immunogen: |
Synthetic peptide of human SULF2 |
|
Full name: |
sulfatase 2 |
|
Synonyms: |
HSULF-2 |
|
SwissProt: |
Q8IWU5 |
|
ELISA Recommended dilution: |
5000-10000 |
|
IHC positive control: |
Human tonsil |
|
IHC Recommend dilution: |
20-100 |
購(gòu)物車
幫助
021-54845833/15800441009
