|
Background: |
Upstream regulator of interferon-induced serine/threonine protein kinase R (PKR). May block the PKR-inhibitory function of DNAJC3, resulting in restoration of kinase activity and suppression of cell growth. |
|
Applications: |
ELISA, IHC |
|
Name of antibody: |
THAP12 |
|
Immunogen: |
Fusion protein of human THAP12 |
|
Full name: |
THAP domain containing 12 |
|
Synonyms: |
DAP4; THAP0; PRKRIR; P52rIPK |
|
SwissProt: |
O43422 |
|
ELISA Recommended dilution: |
5000-10000 |
|
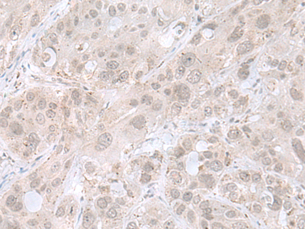
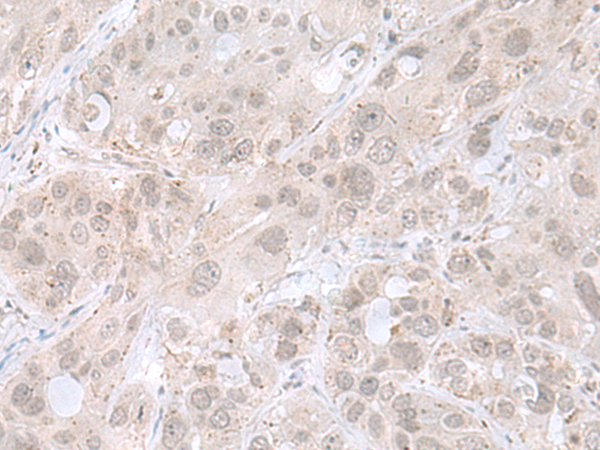
IHC positive control: |
Human esophagus cancer |
|
IHC Recommend dilution: |
30-150 |
購物車
幫助
021-54845833/15800441009
