中文名稱:兔抗CHRD多克隆抗體
|
Background: |
This gene encodes a secreted protein that dorsalizes early vertebrate embryonic tissues by binding to ventralizing TGF-beta-like bone morphogenetic proteins and sequestering them in latent complexes. The encoded protein may also have roles in organogenesis and during adulthood. It has been suggested that this gene could be a candidate gene for Cornelia de Lange syndrome. Reduced expression of this gene results in enhanced bone regeneration. Alternative splicing results in multiple transcript variants. Other alternative splice variants have been described but their full length sequence has not been determined. |
|
Applications: |
ELISA, WB, IHC |
|
Name of antibody: |
CHRD |
|
Immunogen: |
Fusion protein of human CHRD |
|
Full name: |
chordin |
|
SwissProt: |
Q9H2X0 |
|
ELISA Recommended dilution: |
5000-10000 |
|
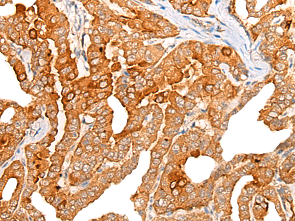
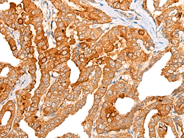
IHC positive control: |
Human thyroid cancer |
|
IHC Recommend dilution: |
25-100 |
|
WB Predicted band size: |
102 kDa |
|
WB Positive control: |
Human cerebrum tissue and Mouse brain tissue lysates |
|
WB Recommended dilution: |
200-1000 |

購(gòu)物車
幫助
021-54845833/15800441009
