|
Background: |
This gene encodes a member of the family of de-ubiquitinating enzymes, which belongs to the peptidase C19 superfamily. The encoded protein is a ubiquitin-specific protease which is required for TNF-alpha (tumor necrosis factor alpha) -induced NF-kB (nuclear factor kB) signaling. This protein deubiquitinates polyubiquitinated target proteins such as fatty acid synthase, murine double minute 2 (MDM2), MDM4/MDMX and cyclin D1. MDM2 and MDM4 are negative regulators of the p53 tumor suppressor and cyclin D1 is required for cell cycle G1/S transition. Multiple alternatively spliced transcript variants encoding different isoforms have been identified. |
|
Applications: |
ELISA, IHC |
|
Name of antibody: |
USP2 |
|
Immunogen: |
Fusion protein of human USP2 |
|
Full name: |
ubiquitin specific peptidase 2 |
|
Synonyms: |
USP9; UBP41 |
|
SwissProt: |
O75604 |
|
ELISA Recommended dilution: |
2000-5000 |
|
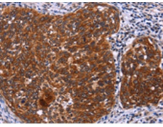
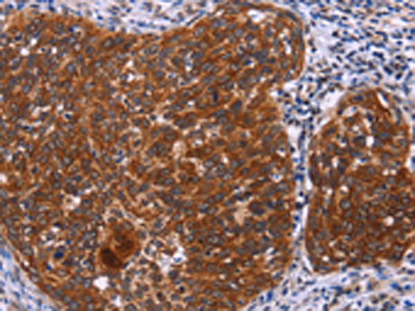
IHC positive control: |
Human cervical cancer and human thyroid cancer |
|
IHC Recommend dilution: |
50-200 |
購物車
幫助
021-54845833/15800441009
