中文名稱: 兔抗CSPG4多克隆抗體
|
Background: |
A human melanoma-associated chondroitin sulfate proteoglycan plays a role in stabilizing cell-substratum interactions during early events of melanoma cell spreading on endothelial basement membranes. CSPG4 represents an integral membrane chondroitin sulfate proteoglycan expressed by human malignant melanoma cells. |
|
Applications: |
ELISA, WB, IHC |
|
Name of antibody: |
CSPG4 |
|
Immunogen: |
Synthetic peptide of human CSPG4 |
|
Full name: |
chondroitin sulfate proteoglycan 4 |
|
Synonyms: |
NG2; MCSP; MCSPG; MSK16; HMW-MAA; MEL-CSPG |
|
SwissProt: |
Q6UVK1 |
|
ELISA Recommended dilution: |
2000-5000 |
|
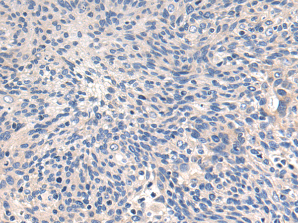
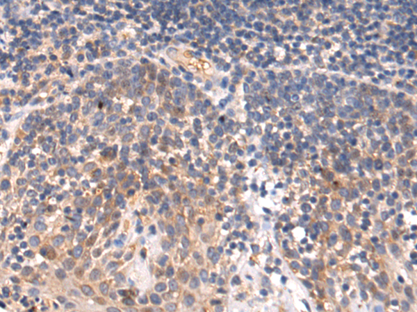
IHC positive control: |
Human brain |
|
IHC Recommend dilution: |
20-100 |
|
WB Predicted band size: |
251 kDa |
|
WB Positive control: |
Mouse skin tissue |
|
WB Recommended dilution: |
500-2000 |


購(gòu)物車
幫助
021-54845833/15800441009
