中文名稱:兔抗AP2M1多克隆抗體
|
Background: |
This gene encodes a subunit of the heterotetrameric coat assembly protein complex 2 (AP2), which belongs to the adaptor complexes medium subunits family. The encoded protein is required for the activity of a vacuolar ATPase, which is responsible for proton pumping occurring in the acidification of endosomes and lysosomes. The encoded protein may also play an important role in regulating the intracellular trafficking and function of CTLA-4 protein. Two transcript variants encoding different isoforms have been found for this gene. |
|
Applications: |
ELISA, IHC |
|
Name of antibody: |
AP2M1 |
|
Immunogen: |
Fusion protein of human AP2M1 |
|
Full name: |
adaptor-related protein complex 2, mu 1 subunit |
|
Synonyms: |
mu2; AP50; CLAPM1 |
|
SwissProt: |
Q96CW1 |
|
ELISA Recommended dilution: |
2000-5000 |
|
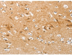
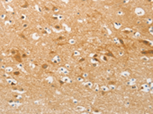
IHC positive control: |
Human brain and human lung cancer |
|
IHC Recommend dilution: |
25-100 |
購物車
幫助
021-54845833/15800441009
