中文名稱: 兔抗URB1多克隆抗體
|
Background: |
URB1, also named as C21orf108, KIAA0539 and NPA1, is a 2,271 amino acid protein that is homologous to the S. cerevisiae protein URB1 which is a nucleolar protein involved in the normal accumulation of 25S and 5.8S rRNAs and may also play a role in the biosynthesis of the 60S ribosomal unit. Also localized to the nucleolus, human URB1 is thought to have the same functions as S. cerevisiae URB1. The antibody is specific to URB1. |
|
Applications: |
ELISA, IHC |
|
Name of antibody: |
URB1 |
|
Immunogen: |
Synthetic peptide of human URB1 |
|
Full name: |
URB1 ribosome biogenesis homolog |
|
Synonyms: |
NPA1; C21orf108 |
|
SwissProt: |
O60287 |
|
ELISA Recommended dilution: |
1000-2000 |
|
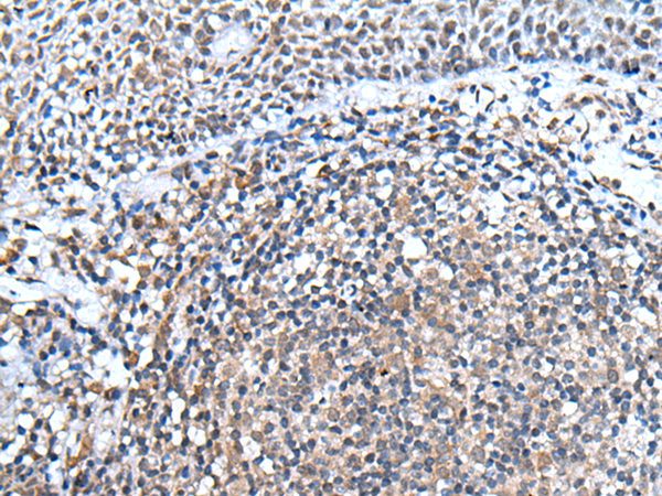
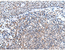
IHC positive control: |
Human tonsil and Human ovarian cancer |
|
IHC Recommend dilution: |
20-100 |

購(gòu)物車
幫助
021-54845833/15800441009
