|
Background: |
FAM3B (family with sequence similarity 3, member B), also known as ORF9, C21orf11 or PANDER, is a 235 amino acid secreted protein that localizes to discrete vesicular and perinuclear structures. Expressed at high levels in pancreas and at lower levels in kidney, colon, testis, prostate and small intestine, FAM3B functions as an islet-specific cytokine that promotes apoptosis and may inhibit Insulin secretion from beta-cells, possibly playing a role in overall pancreatic activity. Human FAM3B shares 78% sequence identity with its mouse counterpart, suggesting a conserved role between species. Three isoforms of FAM3B, designated A, B and C, exist due to alternative splicing events. The gene encoding FAM3B maps to human chromosome 21, which houses approximately 300 genes and comprises nearly 1.5% of the human genome. |
|
Applications: |
ELISA, IHC |
|
Name of antibody: |
FAM3B |
|
Immunogen: |
Fusion protein of human FAM3B |
|
Full name: |
family with sequence similarity 3, member B |
|
Synonyms: |
2-21; ORF9; PANDER; PRED44; C21orf11; C21orf76 |
|
SwissProt: |
P58499 |
|
ELISA Recommended dilution: |
2000-5000 |
|
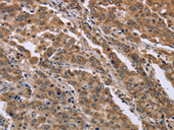
IHC positive control: |
Human liver cancer |
|
IHC Recommend dilution: |
50-200 |
購物車
幫助
021-54845833/15800441009
