|
Background: |
TIPRL is an inhibitory regulator of protein phosphatase-2A (PP2A) (see PPP2CA; MIM 176915), PP4 (see PPP4C; MIM 602035), and PP6 (see PPP6C; MIM 612725) (McConnell et al., 2007 [PubMed 17384681]). |
|
Applications: |
ELISA, IHC |
|
Name of antibody: |
TIPRL |
|
Immunogen: |
Fusion protein of human TIPRL |
|
Full name: |
TOR signaling pathway regulator |
|
Synonyms: |
TIP; TIP41; TIPRL1 |
|
SwissProt: |
O75663 |
|
ELISA Recommended dilution: |
5000-10000 |
|
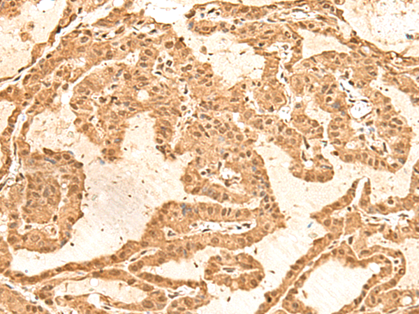
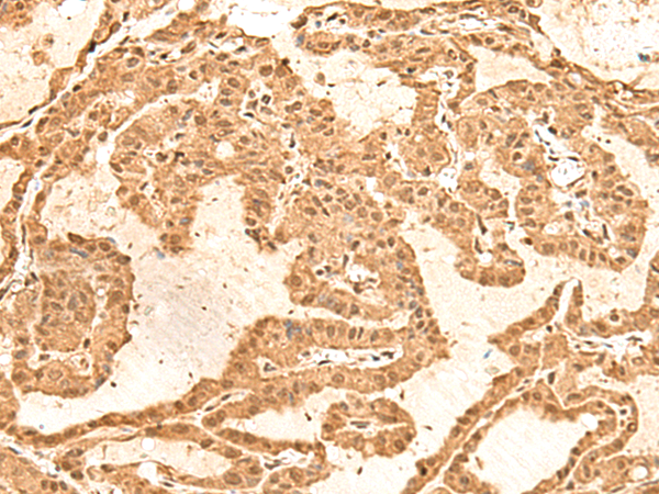
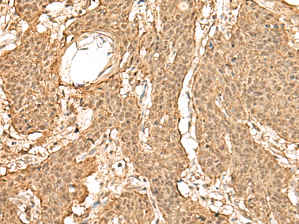
IHC positive control: |
Human esophagus cancer and Human thyroid cancer |
|
IHC Recommend dilution: |
50-300 |

購物車
幫助
021-54845833/15800441009
