|
Background: |
The protein encoded by this gene is a member of the Toll-like receptor (TLR) family which plays a fundamental role in pathogen recognition and activation of innate immunity. TLRs are highly conserved from Drosophila to humans and share structural and functional similarities. They recognize pathogen-associated molecular patterns that are expressed on infectious agents, and mediate the production of cytokines necessary for the development of effective immunity. The various TLRs exhibit different patterns of expression. This receptor has been implicated in signal transduction events induced by lipopolysaccharide (LPS) found in most gram-negative bacteria. Mutations in this gene have been associated with differences in LPS responsiveness. |
|
Applications: |
ELISA, IHC |
|
Name of antibody: |
TLR4 |
|
Immunogen: |
Fusion protein of human TLR4 |
|
Full name: |
toll-like receptor 4 |
|
Synonyms: |
TOLL; CD284; TLR-4; ARMD10 |
|
SwissProt: |
O00206 |
|
ELISA Recommended dilution: |
1000-5000 |
|
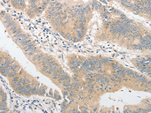
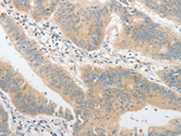
IHC positive control: |
Human colon cancer |
|
IHC Recommend dilution: |
50-200 |
購物車
幫助
021-54845833/15800441009
