|
Background: |
This gene encodes a core subunit of the eukaryotic translation initiation factor 3 (eIF3) complex, which is required for initiation of protein translation. An N-terminal caspase cleavage product of the encoded protein may stimulate degradation of DNA. A mutation in this gene is associated with narcolepsy. [provided by RefSeq, Jul 2016] |
|
Applications: |
ELISA, IHC |
|
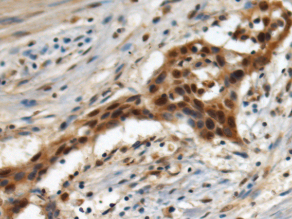
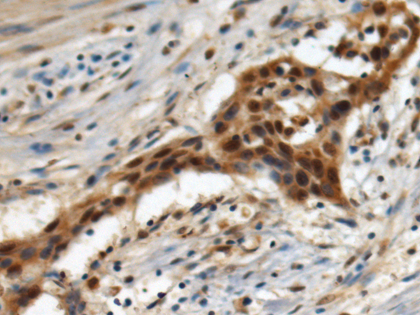
Name of antibody: |
EIF3G |
|
Immunogen: |
Fusion protein of human EIF3G |
|
Full name: |
eukaryotic translation initiation factor 3 subunit G |
|
Synonyms: |
EIF3S4; EIF3-P42; eIF3-p44; eIF3-delta |
|
SwissProt: |
O75821 |
|
ELISA Recommended dilution: |
5000-10000 |
|
IHC positive control: |
Human esophagus cancer |
|
IHC Recommend dilution: |
100-300 |
購物車
幫助
021-54845833/15800441009
