|
Background: |
This protein binds to target gene promoters, including NKX2-5 and SYCE1, but not GATA4, and may be involved in the maintenance of the active epigenetic status of these genes. Expressed in embryonic stem cells. No expression is seen in 5 months embryo, mesenchymal stem cells, embryonic fibrocytes and adult tissues. It contains 1 SAP domain. |
|
Applications: |
ELISA, IHC |
|
Name of antibody: |
DPPA2 |
|
Immunogen: |
Fusion protein of human DPPA2 |
|
Full name: |
developmental pluripotency associated 2 |
|
Synonyms: |
CT100; PESCRG1; ECAT15-2 |
|
SwissProt: |
Q7Z7J5 |
|
ELISA Recommended dilution: |
2000-5000 |
|
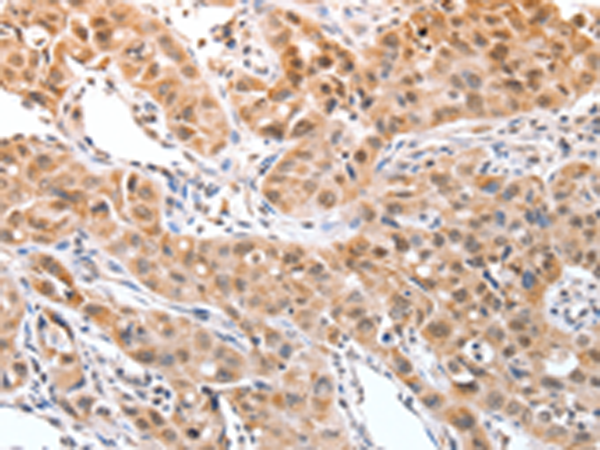
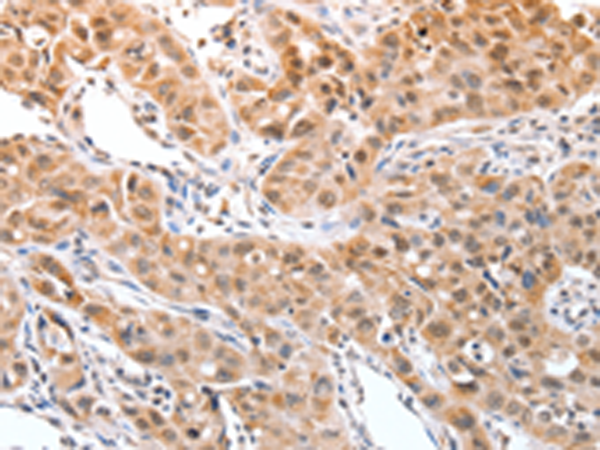
IHC positive control: |
Human lung cancer |
|
IHC Recommend dilution: |
25-100 |
購物車
幫助
021-54845833/15800441009
