中文名稱: 兔抗CUL1多克隆抗體
|
Background: |
Core component of multiple cullin-RING-based SCF (SKP1-CUL1-F-box protein) E3 ubiquitin-protein ligase complexes, which mediate the ubiquitination of proteins involved in cell cycle progression, signal transduction and transcription. In the SCF complex, serves as a rigid scaffold that organizes the SKP1-F-box protein and RBX1 subunits. May contribute to catalysis through positioning of the substrate and the ubiquitin-conjugating enzyme. The E3 ubiquitin-protein ligase activity of the complex is dependent on the neddylation of the cullin subunit and exchange of the substrate recognition component is mediated by TIP120A/CAND1. The functional specificity of the SCF complex depends on the F-box protein as substrate recognition component. SCF(BTRC) and SCF(FBXW11) direct ubiquitination of CTNNB1 and participate in Wnt signaling. SCF(FBXW11) directs ubiquitination of phosphorylated NFKBIA. SCF(BTRC) directs ubiquitination of NFKBIB, NFKBIE, ATF4, SMAD3, SMAD4, CDC25A, FBXO5 and probably NFKB2. SCF(SKP2) directs ubiquitination of phosphorylated CDKN1B/p27kip and is involved in regulation of G1/S transition. SCF(SKP2) directs ubiquitination of ORC1, CDT1, RBL2, ELF4, CDKN1A, RAG2, FOXO1A, and probably MYC and TAL1. SCF(FBXW7) directs ubiquitination of cyclin E, NOTCH1 released notch intracellular domain (NICD), and probably PSEN1. SCF(FBXW2) directs ubiquitination of GCM1. SCF(FBXO32) directs ubiquitination of MYOD1. SCF(FBXO7) directs ubiquitination of BIRC2 and DLGAP5. SCF(FBXO33) directs ubiquitination of YBX1. SCF(FBXO1) directs ubiquitination of BCL6 and DTL but does not seem to direct ubiquitination of TP53. SCF(BTRC) mediates the ubiquitination of NFKBIA at 'Lys-21' and 'Lys-22'; the degradation frees the associated NFKB1-RELA dimer to translocate into the nucleus and to activate transcription. SCF(CCNF) directs ubiquitination of CCP110. SCF(FBXL3) and SCF(FBXL21) direct ubiquitination of CRY1 and CRY2. SCF(FBXO9) direct ubiquitination of TTI1 and TELO2. SCF(FBXO10) directs ubiquitination of BCL2. |
|
Applications: |
ELISA, IHC |
|
Name of antibody: |
CUL1 |
|
Immunogen: |
Synthetic peptide of human CUL1 |
|
Full name: |
cullin 1 |
|
SwissProt: |
Q13616 |
|
ELISA Recommended dilution: |
2000-5000 |
|
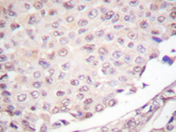
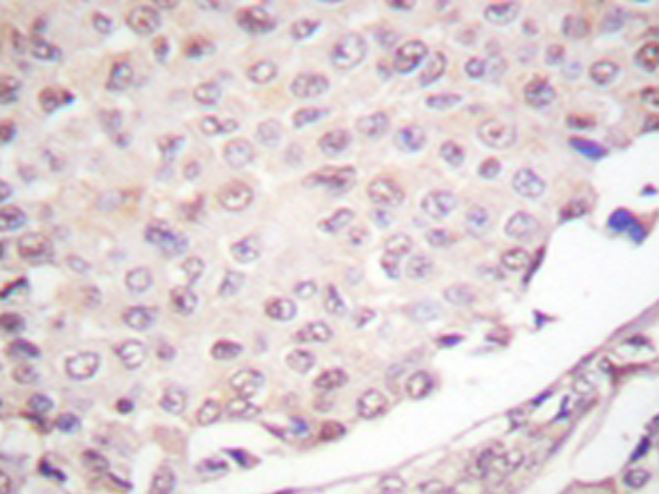
IHC positive control: |
Human tonsil and Human thyroid cancer |
|
IHC Recommend dilution: |
25-100 |


購物車
幫助
021-54845833/15800441009
