|
Background: |
This gene encodes a member of the T-cell factor/lymphoid enhancer-binding factor family of high mobility group (HMG) box transcriptional activators. This gene is expressed predominantly in T-cells and plays a critical role in natural killer cell and innate lymphoid cell development. The encoded protein forms a complex with beta-catenin and activates transcription through a Wnt/beta-catenin signaling pathway. Mice with a knockout of this gene are viable and fertile, but display a block in T-lymphocyte differentiation. Alternative splicing results in multiple transcript variants. Naturally-occurring isoforms lacking the N-terminal beta-catenin interaction domain may act as dominant negative regulators of Wnt signaling. |
|
Applications: |
ELISA, IHC |
|
Name of antibody: |
TCF7 |
|
Immunogen: |
Synthetic peptide of human TCF7 |
|
Full name: |
transcription factor 7 |
|
Synonyms: |
TCF-1 |
|
SwissProt: |
P36402 |
|
ELISA Recommended dilution: |
5000-10000 |
|
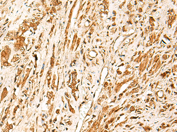
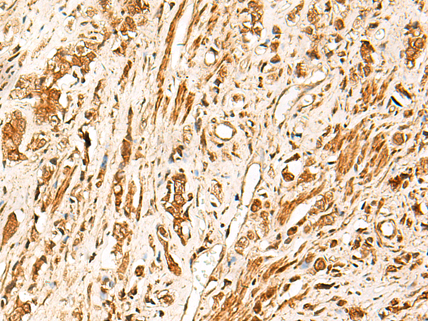
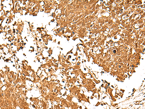
IHC positive control: |
Human lung cancer and Human prostate cancer |
|
IHC Recommend dilution: |
40-200 |

購物車
幫助
021-54845833/15800441009
