|
Background: |
There are at least two protein isoforms of the Double C2 protein, namely alpha (DOC2A) and beta (DOC2B), which contain two C2-like domains. DOC2A and DOC2B are encoded by different genes; these genes are at times confused with the unrelated DAB2 gene which was initially named DOC-2. DOC2B is expressed ubiquitously and is suggested to be involved in Ca(2+)-dependent intracellular vesicle trafficking in various types of cells. |
|
Applications: |
ELISA, IHC |
|
Name of antibody: |
DOC2B |
|
Immunogen: |
Synthetic peptide corresponding to a region derived from 399-412 amino acids of human DOC2B |
|
Full name: |
double C2 domain beta |
|
Synonyms: |
DOC2BL |
|
SwissProt: |
Q14184 |
|
ELISA Recommended dilution: |
5000-10000 |
|
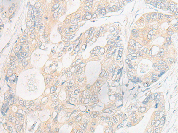
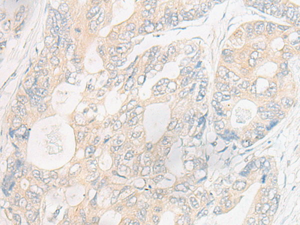
IHC Positive control: |
Human liver cancer;Human gastric cancer |
|
IHC Recommended dilution: |
20-100 |

購物車
幫助
021-54845833/15800441009
