|
Background: |
This gene encodes a member of the short-chain dehydrogenases/reductases (SDR) family, which has over 46,000 members. Members of this family are enzymes that metabolize many different compounds, such as steroid hormones, prostaglandins, retinoids, lipids and xenobiotics. Alternative promoter use and alternative splicing results in multiple transcript variants. |
|
Applications: |
ELISA, WB, IHC |
|
Name of antibody: |
DHRS2 |
|
Immunogen: |
Fusion protein of human DHRS2 |
|
Full name: |
dehydrogenase/reductase 2 |
|
Synonyms: |
HEP27; SDR25C1 |
|
SwissProt: |
Q13268 |
|
ELISA Recommended dilution: |
5000-10000 |
|
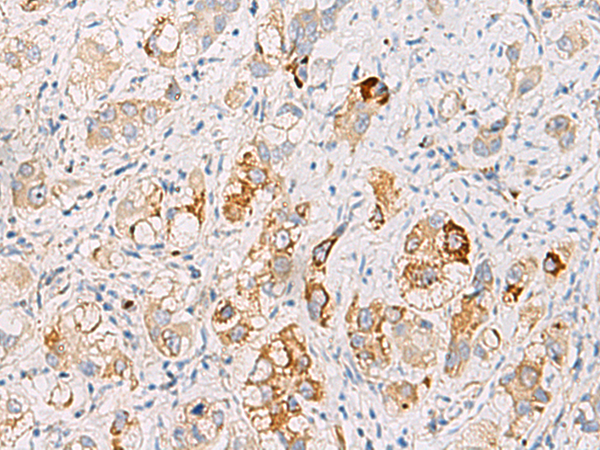
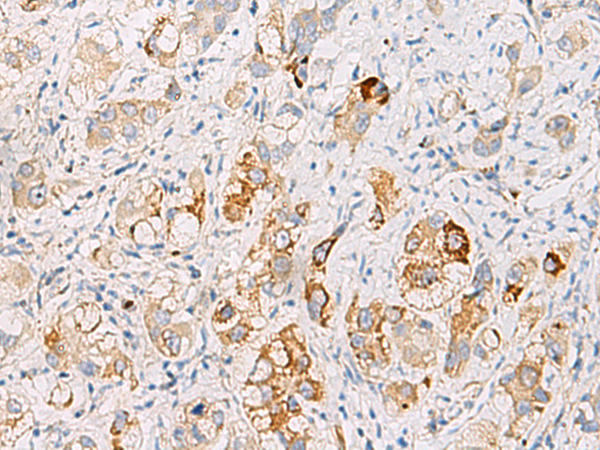
IHC positive control: |
Human liver cancer |
|
IHC Recommend dilution: |
50-200 |
|
WB Predicted band size: |
30 kDa |
|
WB Positive control: |
MCF7 cell lysate |
|
WB Recommended dilution: |
500-2000 |

購物車
幫助
021-54845833/15800441009
