|
Background: |
Part of the SNAPc complex required for the transcription of both RNA polymerase II and III small-nuclear RNA genes. Binds to the proximal sequence element (PSE), a non-TATA-box basal promoter element common to these 2 types of genes. Recruits TBP and BRF2 to the U6 snRNA TATA box. |
|
Applications: |
ELISA, IHC |
|
Name of antibody: |
SNAPC1 |
|
Immunogen: |
Fusion protein of human SNAPC1 |
|
Full name: |
small nuclear RNA activating complex polypeptide 1 |
|
Synonyms: |
SNAP43; PTFgamma |
|
SwissProt: |
Q16533 |
|
ELISA Recommended dilution: |
5000-10000 |
|
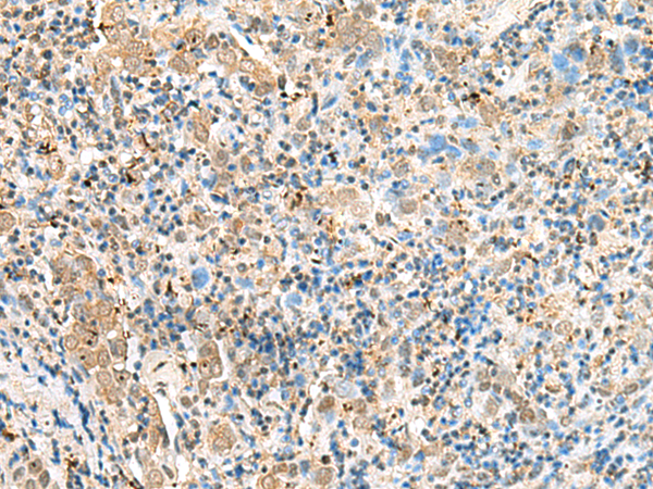
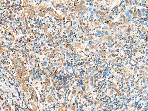
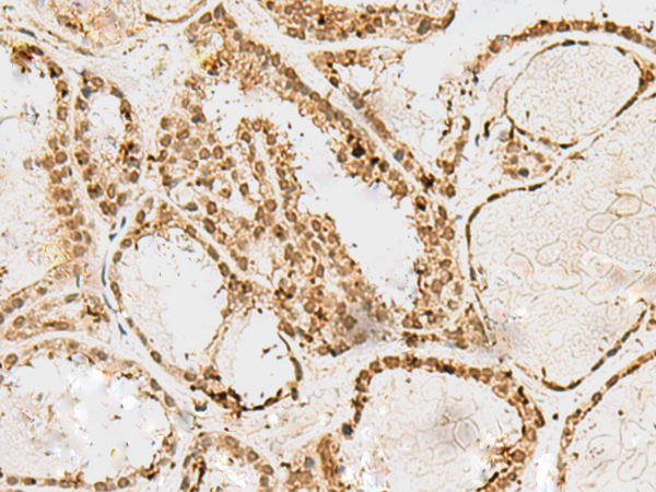
IHC positive control: |
Human thyroid cancer and Human cervical cancer |
|
IHC Recommend dilution: |
50-300 |

購物車
幫助
021-54845833/15800441009
