中文名稱:兔抗BRD7多克隆抗體
|
Background: |
This gene encodes a protein which is a member of the bromodomain-containing protein family. The product of this gene has been identified as a component of one form of the SWI/SNF chromatin remodeling complex, and as a protein which interacts with p53 and is required for p53-dependent oncogene-induced senescence which prevents tumor growth. Pseudogenes have been described on chromosomes 2, 3, 6, 13 and 14. Alternative splicing results in multiple transcript variants. |
|
Applications: |
ELISA, IHC |
|
Name of antibody: |
BRD7 |
|
Immunogen: |
Fusion protein of human BRD7 |
|
Full name: |
bromodomain containing 7 |
|
Synonyms: |
BP75; NAG4; CELTIX1 |
|
SwissProt: |
Q9NPI1 |
|
ELISA Recommended dilution: |
5000-10000 |
|
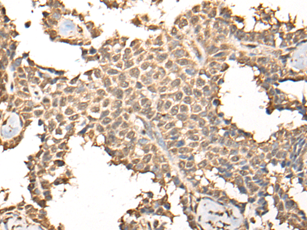
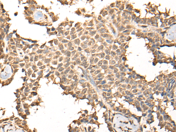
IHC positive control: |
Human ovarian cancer and human thyroid cancer |
|
IHC Recommend dilution: |
25-100 |


購(gòu)物車
幫助
021-54845833/15800441009
