|
Background: |
DEAD box proteins, characterized by the conserved motif Asp-Glu-Ala-Asp (DEAD), are putative RNA helicases. They are implicated in a number of cellular processes involving alteration of RNA secondary structure such as translation initiation, nuclear and mitochondrial splicing, and ribosome and spliceosome assembly. Based on their distribution patterns, some members of this family are believed to be involved in embryogenesis, spermatogenesis, and cellular growth and division. This gene encodes a DEAD box protein of unknown function. It shows high transcription levels in 2 retinoblastoma cell lines and in tissues of neuroectodermal origin. |
|
Applications: |
ELISA, WB, IHC |
|
Name of antibody: |
DDX1 |
|
Immunogen: |
Fusion protein of human DDX1 |
|
Full name: |
DEAD-box helicase 1 |
|
Synonyms: |
DBP-RB; UKVH5d |
|
SwissProt: |
Q92499 |
|
ELISA Recommended dilution: |
5000-10000 |
|
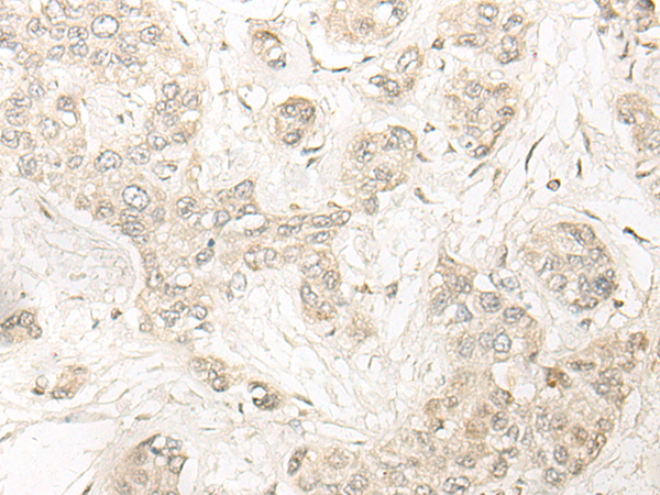
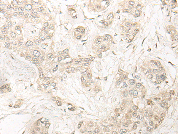
IHC positive control: |
Human lung cancer and Human liver cancer |
|
IHC Recommend dilution: |
20-100 |
|
WB Predicted band size: |
82 kDa |
|
WB Positive control: |
Rat brain tissue, Mouse brain tissue, A549 and PC-3 cell lysates |
|
WB Recommended dilution: |
500-2000 |


購物車
幫助
021-54845833/15800441009
