中文名稱:兔抗CMPK1多克隆抗體
|
Background: |
This gene encodes one of the enzymes required for cellular nucleic acid biosynthesis. This enzyme catalyzes the transfer of a phosphate group from ATP to CMP, UMP, or dCMP, to form the corresponding diphosphate nucleotide. Alternate splicing results in both coding and non-coding transcript variants. |
|
Applications: |
ELISA, WB, IHC |
|
Name of antibody: |
CMPK1 |
|
Immunogen: |
Full length fusion protein |
|
Full name: |
cytidine/uridine monophosphate kinase 1 |
|
Synonyms: |
CK; CMK; UMK; CMPK; UMPK; UMP-CMPK |
|
SwissProt: |
P30085 |
|
ELISA Recommended dilution: |
5000-10000 |
|
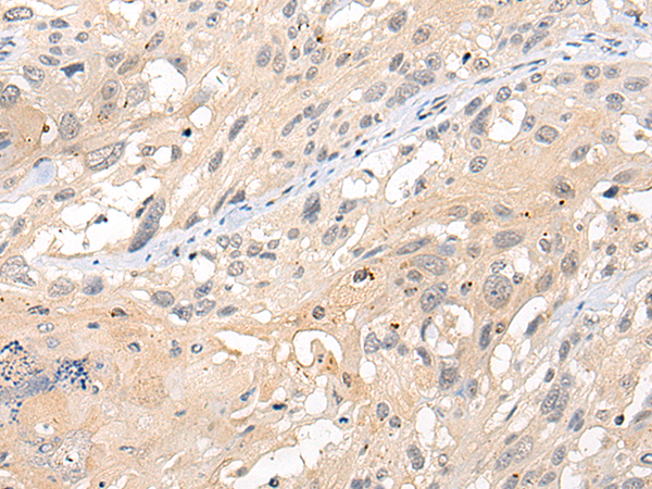
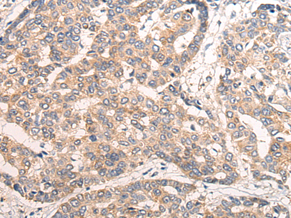
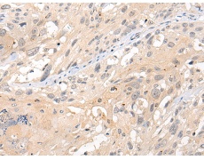
IHC positive control: |
Human tonsil and Human esophagus cancer |
|
IHC Recommend dilution: |
20-100 |
|
WB Predicted band size: |
22 kDa |
|
WB Positive control: |
HT-29, Hela, HEPG2, A549, Jurkat and 231 cell lysate |
|
WB Recommended dilution: |
200-1000 |


購物車
幫助
021-54845833/15800441009
