中文名稱:兔抗CMKLR1多克隆抗體
|
Background: |
Receptor for the chemoattractant adipokine chemerin/RARRES2 and for the omega-3 fatty acid derived molecule resolvin E1. Interaction with RARRES2 induces activation of intracellular signaling molecules, such as SKY, MAPK1/3 (ERK1/2), MAPK14/P38MAPK and PI3K leading to multifunctional effects, like, reduction of immune responses, enhancing of adipogenesis and angionesis. Resolvin E1 down-regulates cytokine production in macrophages by reducing the activation of MAPK1/3 (ERK1/2) and NF-kappa-B. Positively regulates adipogenesis and adipocyte metabolism. Acts as a coreceptor for several SIV strains (SIVMAC316, SIVMAC239, SIVMACL7E-FR and SIVSM62A), as well as a primary HIV-1 strain (92UG024-2). |
|
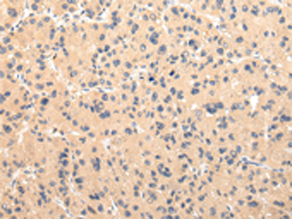
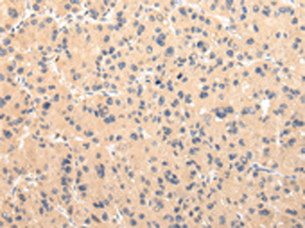
Applications: |
ELISA, IHC |
|
Name of antibody: |
CMKLR1 |
|
Immunogen: |
Synthetic peptide of human CMKLR1 |
|
Full name: |
chemerin chemokine-like receptor 1 |
|
Synonyms: |
DEZ; RVER1; ChemR23; CHEMERINR |
|
SwissProt: |
Q99788 |
|
ELISA Recommended dilution: |
2000-5000 |
|
IHC positive control: |
Human thyroid cancer and Human esophagus cancer |
|
IHC Recommend dilution: |
25-100 |
購物車
幫助
021-54845833/15800441009
