|
Background: |
This gene encodes a protein which belongs to the C2H2-type zinc finger proteins subclass of the Gli family. They are characterized as DNA-binding transcription factors and are mediators of Sonic hedgehog (Shh) signaling. The protein encoded by this gene localizes in the cytoplasm and activates patched Drosophila homolog (PTCH) gene expression. It is also thought to play a role during embryogenesis. Mutations in this gene have been associated with several diseases, including Greig cephalopolysyndactyly syndrome, Pallister-Hall syndrome, preaxial polydactyly type IV, and postaxial polydactyly types A1 and B. |
|
Applications: |
ELISA, WB, IHC |
|
Name of antibody: |
GLI3 |
|
Immunogen: |
Synthetic peptide of human GLI3 |
|
Full name: |
GLI family zinc finger 3 |
|
Synonyms: |
PHS; ACLS; GCPS; PAPA; PAPB; PAP-A; PAPA1; PPDIV; GLI3FL; GLI3-190 |
|
SwissProt: |
P10071 |
|
ELISA Recommended dilution: |
5000-10000 |
|
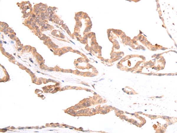
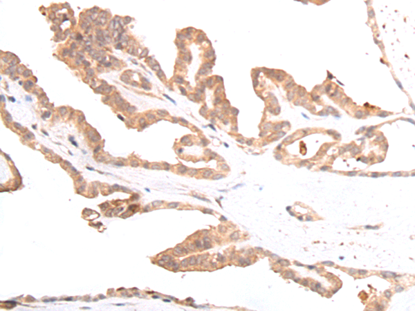
IHC positive control: |
Human liver cancer and human thyroid cancer |
|
IHC Recommend dilution: |
25-100 |
|
WB Predicted band size: |
170 kDa |
|
WB Positive control: |
Mouse liver tissue |
|
WB Recommended dilution: |
200-1000 |


購物車
幫助
021-54845833/15800441009
