中文名稱: 兔抗GCGR多克隆抗體
|
Background: |
The protein encoded by this gene is a glucagon receptor that is important in controlling blood glucose levels. Defects in this gene are a cause of non-insulin-dependent diabetes mellitus (NIDDM). |
|
Applications: |
ELISA, WB, IHC |
|
Name of antibody: |
GCGR |
|
Immunogen: |
Synthetic peptide of human GCGR |
|
Full name: |
glucagon receptor |
|
Synonyms: |
GGR |
|
SwissProt: |
P47871 |
|
ELISA Recommended dilution: |
1000-2000 |
|
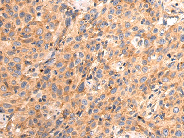
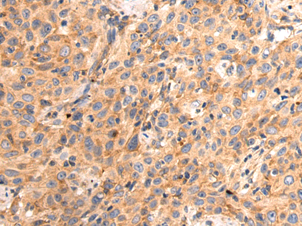
IHC positive control: |
Human thyroid cancer |
|
IHC Recommend dilution: |
50-200 |
|
WB Predicted band size: |
54 kDa |
|
WB Positive control: |
293T cells |
|
WB Recommended dilution: |
200-1000 |


購物車
幫助
021-54845833/15800441009
