中文名稱:小鼠抗BCL2單克隆抗體
|
Background: |
This gene encodes an integral outer mitochondrial membrane protein that blocks the apoptotic death of some cells such as lymphocytes. Constitutive expression of BCL2, such as in the case of translocation of BCL2 to Ig heavy chain locus, is thought to be the cause of follicular lymphoma. Two transcript variants, produced by alternate splicing, differ in their C-terminal ends. [provided by RefSeq, Jul 2008]. |
|
Applications: |
WB, IHC |
|
Name of antibody: |
BCL2 |
|
Immunogen: |
Fusion protein of human BCL2 |
|
Full name: |
B-cell CLL/lymphoma 2 (BCL2), transcript variant alpha |
|
Synonyms: |
Bcl-2; PPP1R50 |
|
SwissProt: |
P10415 |
|
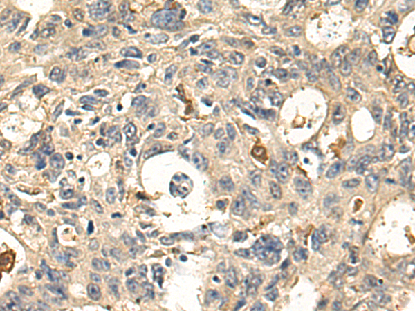
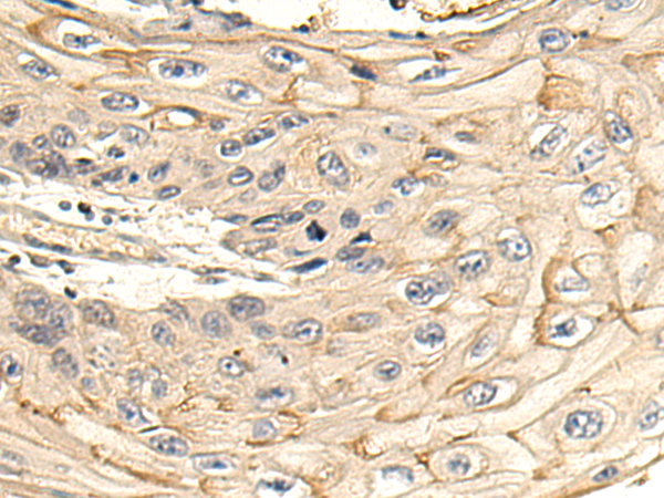
IHC positive control: |
human lymphoma tissue and human tonsil tissue |
|
IHC Recommend dilution: |
30-150 |
|
WB Predicted band size: |
26 kDa |
|
WB Positive control: |
HepG2, Hela, A549, Jurkat, MDCK, PC12 and MCF7 cell lysates |
|
WB Recommended dilution: |
500-2000 |


購物車
幫助
021-54845833/15800441009
