中文名稱:兔抗ZNF395多克隆抗體
|
Background: |
Zinc-finger proteins contain DNA-binding domains and have a wide variety of functions, most of which encompass some form of transcriptional activation or repression. As a member of the krueppel C2H2-type zinc-finger protein family, ZNF395 (Zinc finger protein 395), also known as PBF (Papillomavirus-binding factor) and HDBP2 (Huntington disease gene regulatory region-binding protein 2), is a 513 amino acid protein that contains one C2H2-type zinc finger. ZNF395 binds to the 3’-CCGG-5’ sequence within the papillomavirus promoter adjacent to a RUNX1-binding motif. It has also been established that ZNF395 binds to a seven base pair region within the Huntington's disease (HD) gene promoter, an essential element for HD gene expression. ZNF395 is widely expressed and probably shuttles between the nucleus and cytoplasm. |
|
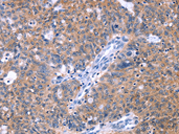
Applications: |
ELISA, IHC |
|
Name of antibody: |
ZNF395 |
|
Immunogen: |
Synthetic peptide of human ZNF395 |
|
Full name: |
zinc finger protein 395 |
|
Synonyms: |
PBF; PRF1; HDBP2; PRF-1; HDBP-2; HDRF-2; Si-1-8-14 |
|
SwissProt: |
Q9H8N7 |
|
ELISA Recommended dilution: |
2000-5000 |
|
IHC positive control: |
Human ovarian cancer |
|
IHC Recommend dilution: |
50-200 |
購(gòu)物車
幫助
021-54845833/15800441009
