|
Background: |
Chitotriosidase is secreted by activated human macrophages and is markedly elevated in plasma of Gaucher disease patients. The expression of chitotriosidase occurs only at a late stage of differentiation of monocytes to activated macrophages in culture. Human macrophages can synthesize a functional chitotriosidase, a highly conserved enzyme with a strongly regulated expression. This enzyme may play a role in the degradation of chitin-containing pathogens. Several alternatively spliced transcript variants have been described for this gene. |
|
Applications: |
ELISA, WB, IHC |
|
Name of antibody: |
CHIT1 |
|
Immunogen: |
Fusion protein of human CHIT1 |
|
Full name: |
chitinase 1 |
|
Synonyms: |
CHI3; CHIT; CHITD |
|
SwissProt: |
Q13231 |
|
ELISA Recommended dilution: |
5000-10000 |
|
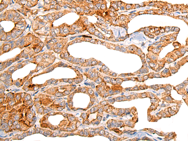
IHC positive control: |
Human thyroid cancer |
|
IHC Recommend dilution: |
25-100 |
|
WB Predicted band size: |
52 kDa |
|
WB Positive control: |
Human lung tissue and Human spleen tissue lysates |
|
WB Recommended dilution: |
200-1000 |

購物車
幫助
021-54845833/15800441009
