中文名稱:兔抗CDO1多克隆抗體
英文名稱: Anti-CDO1 rabbit polyclonal antibody
相關類別: 一抗
反應種屬: Human, Mouse, Rat
標 記 物: Unconjugate
克隆類型: rabbit polyclonal
|
Background: |
CDO1 (cysteine dioxygenase, type I) is a 200 amino acid protein that belongs to the cysteine dioxygenase family and is involved in organosulfur biosynthesis. Existing as a monomer and expressed at high levels in liver and placenta and at lower levels in brain, pancreas and heart, CDO1 functions as a dioxygenase that uses iron and zinc as cofactors to catalyze the conversion of L-cysteine and oxygen to 3-sulfinoalanine. |
|
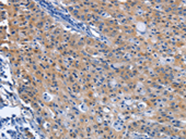
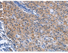
Applications: |
ELISA, IHC |
|
Name of antibody: |
CDO1 |
|
Immunogen: |
Fusion protein of human CDO1 |
|
Full name: |
cysteine dioxygenase type 1 |
|
SwissProt: |
Q16878 |
|
IHC positive control: |
Human gastric cancer and human thyroid cancer |
|
IHC Recommend dilution: |
25-100 |

購物車
幫助
021-54845833/15800441009
