中文名稱:兔抗GRM5多克隆抗體
|
Background: |
This gene encodes a member of the G-protein coupled receptor 3 protein family. The encoded protein is a metabatropic glutamate receptor, whose signaling activates a phosphatidylinositol-calcium second messenger system. This protein may be involved in the regulation of neural network activity and synaptic plasticity. Glutamatergic neurotransmission is involved in most aspects of normal brain function and can be perturbed in many neuropathologic conditions. A pseudogene of this gene has been defined on chromosome 11. Alternative splicing results in multiple transcript variants. |
|
Applications: |
ELISA, IHC |
|
Name of antibody: |
GRM5 |
|
Immunogen: |
Synthetic peptide of human GRM5 |
|
Full name: |
glutamate receptor, metabotropic 5 |
|
Synonyms: |
mGlu5; GPRC1E; MGLUR5; PPP1R86 |
|
SwissProt: |
P41594 |
|
ELISA Recommended dilution: |
5000-10000 |
|
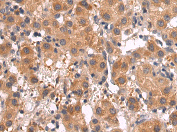
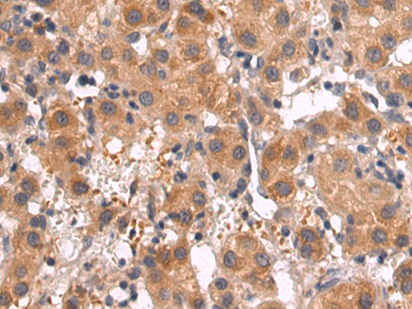
IHC positive control: |
Human tonsil |
|
IHC Recommend dilution: |
25-100 |
購(gòu)物車
幫助
021-54845833/15800441009
