中文名稱: 兔抗YPEL5多克隆抗體
|
Background: |
YPEL5 (yippee-like 5), also known as CGI-127, is a 121 amino acid protein that may be involved in cell division-related function. During cell cycle progression, YPEL5 localizes to multiple subcellular regions. At interphase of mitosis, YPEL5 localizes to the nucleus and centrosome, then changes its location sequentially to the spindle poles, mitotic spindle and spindle midzone, and finally it is transferred to the midbody at cytokinesis. The function of YPEL5 during cell division is not yet fully understood. |
|
Applications: |
ELISA, IHC |
|
Name of antibody: |
YPEL5 |
|
Immunogen: |
Synthetic peptide of human YPEL5 |
|
Full name: |
yippee like 5 |
|
Synonyms: |
CGI-127 |
|
SwissProt: |
P62699 |
|
ELISA Recommended dilution: |
5000-10000 |
|
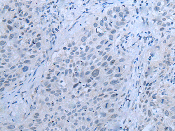
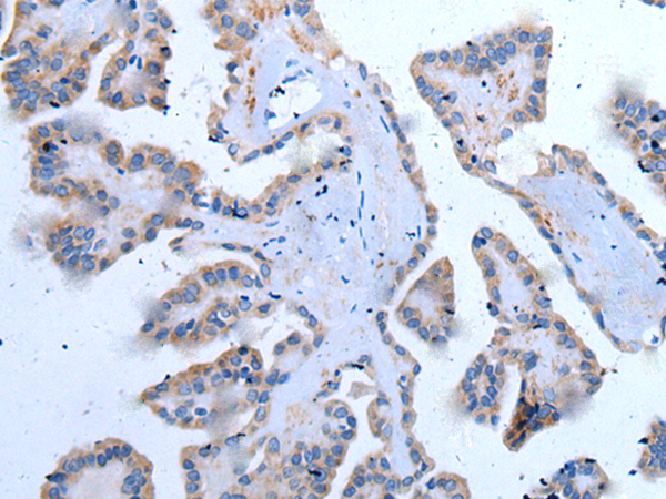
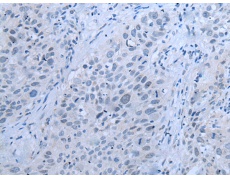
IHC positive control: |
Human brain and human esophagus cancer |
|
IHC Recommend dilution: |
40-250 |

購物車
幫助
021-54845833/15800441009
