中文名稱: 兔抗GALR3多克隆抗體
英文名稱: Anti-GALR3 rabbit polyclonal antibody
|
Background: |
The neuropeptide galanin modulates a variety of physiologic processes including cognition/memory, sensory/pain processing, hormone secretion, and feeding behavior. The human galanin receptors are G protein-coupled receptors that functionally couple to their intracellular effector through distinct signaling pathways. GALR3 is found in many tissues and may be expressed as 1.4-, 2.4-, and 5-kb transcripts |
|
Applications: |
ELISA, WB, IHC |
|
Name of antibody: |
GALR3 |
|
Immunogen: |
Synthetic peptide of human GALR3 |
|
Full name: |
galanin receptor 3 |
|
SwissProt: |
O60755 |
|
ELISA Recommended dilution: |
5000-10000 |
|
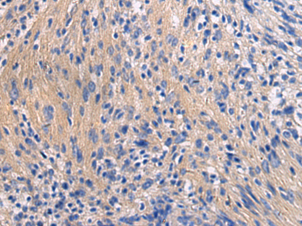
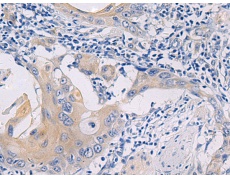
IHC positive control: |
Human brain and Human esophagus cancer |
|
IHC Recommend dilution: |
50-200 |
|
WB Predicted band size: |
40 kDa |
|
WB Positive control: |
Raji cell lysate |
|
WB Recommended dilution: |
500-2000 |



購(gòu)物車
幫助
021-54845833/15800441009
