|
Background: |
Natural killer (NK) cells are lymphocytes that mediate cytotoxicity and secrete cytokines after immune stimulation. Several genes of the C-type lectin superfamily, including the rodent NKRP1 family of glycoproteins, are expressed by NK cells and may be involved in the regulation of NK cell function. The KLRB1 protein contains an extracellular domain with several motifs characteristic of C-type lectins, a transmembrane domain, and a cytoplasmic domain. The KLRB1 protein is classified as a type II membrane protein because it has an external C terminus. |
|
Applications: |
ELISA, IHC |
|
Name of antibody: |
KLRB1 |
|
Immunogen: |
Fusion protein of human KLRB1 |
|
Full name: |
killer cell lectin like receptor B1 |
|
Synonyms: |
NKR; CD161; CLEC5B; NKR-P1; NKRP1A; NKR-P1A; hNKR-P1A |
|
SwissProt: |
Q12918 |
|
ELISA Recommended dilution: |
5000-10000 |
|
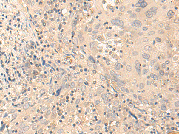
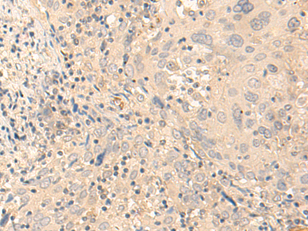
IHC positive control: |
Human cervical cancer |
|
IHC Recommend dilution: |
30-150 |
購物車
幫助
021-54845833/15800441009
